Professional Dental Cleaning Can Improve Your Confidence
Research Proves Smiling Improves Your Mood!
Studies have also proved that smiling—whether genuine or faked—can boost your mood and even your immune system. This is because the act of smiling releases endorphins, and your body can’t tell the difference between a real and a fake smile. People who smile more tend to be happier and more confident!
​
Unfortunately, people who are severely self-conscious of their smiles often avoid smiling altogether. Having oral health issues such as gum disease or tooth decay can progress if not treated. These problems often get to the point where your smile is compromised and you no longer feel comfortable showing your teeth.
When you have a gorgeous smile, you can speak and laugh without holding back and enjoy the increased happiness that comes with it!
Before & After Results of a Dental Cleaning
![]() Healthy teeth. Healthy gums. Beautiful smile leading to a boost in self-confidence. | ![]() Area of bacteria under magnification associated with build-up of plaque and tartar on the teeth. | ![]() Removal of stain and build-up on front teeth. Results in a more esthetic, healthier smile. |
|---|---|---|
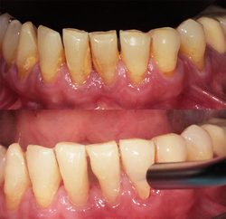
![]() Heavy tartar with attached staining on inside bottom front teeth. Cleaning will result in less bleeding, healthier tissues and decreased bad breath. | ![]() Tar-like black stain resulting from using tobacco products. If left on teeth over long periods of time this staining can be incorporated into the enamel resulting in permanent staining. | ![]() Removing common stains resulting from coffee, tea & red wine can lead to a more radiant smile with resulting improved self-confidence! |
![]() Hard & soft build-up with some staining bottom front teeth. Removal results in improved esthetics and overall health. | ![]() Teeth whitening vs.stain removal. Whitening gives an added boost of colour! |
Dental Cleaning Should be Part Of Your Oral Care Regimen
​
​
Proper oral care begins at your home, and it’s improved by a dental cleaning service offered by a dental hygienist. Through such a cleaning procedure, the dental hygienist can reverse some of the teeth damage. Your oral health care provider can also check your mouth for signs of systemic disease. But more importantly, you can also get long-term dental care advice.
​
Without a professional-guided dental hygiene regimen, your mouth can suffer from consistent plaque build-up. Eventually, the build-up will make your gums swell and bleed. Swelling or bleeding gums can also cause malocclusion (also known as a weak bite). As your gums get affected, your teeth will suffer as well.
​
​
Professional Teeth Whitening is A Big Plus!
​
Having a bright, attractive smile is just as important as a great dental hygiene regimen. Through the years, your teeth will naturally darken but the damage is generally not permanent. With modern dental instruments a dental hygienist can make your teeth as white as they can be.
​
Before getting a professional teeth whitening service, you must first consider the overall state of your teeth. Your oral health care provider won’t proceed with teeth whitening if you suffer from hypersensitive teeth, periodontitis, or worn-out teeth enamel. This is a safety precaution meant to help you avoid any risks and complications.
![Web-File[1].png](https://static.wixstatic.com/media/bb6bb0_242e50c498c54831814154d01f16ef02~mv2.png/v1/fill/w_212,h_92,al_c,q_85,usm_0.66_1.00_0.01,enc_avif,quality_auto/Web-File%5B1%5D.png)







